Patient presented with crowding on lower anterior teeth. Clear...
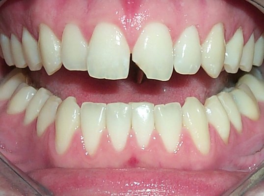
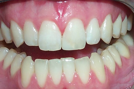
Patient broke anterior tooth by biting down on his tongue piercing. We restored using composite bonding.
Visit Us
Our goal is for you to leave our office with a memorable and enjoyable experience, which is why our welcoming and compassionate staff will do everything they can to make you feel right at home.