Plano, TX male gets Dental Bonding and Contouring for a fuller smile
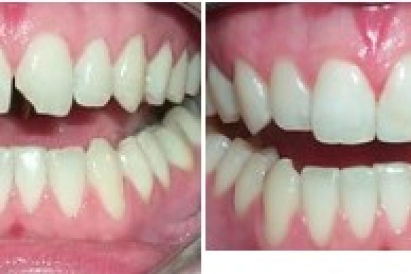
Post orthodontics anterior diastema closed with composite bonding.
Our goal is for you to leave our office with a memorable and enjoyable experience, which is why our welcoming and compassionate staff will do everything they can to make you feel right at home.