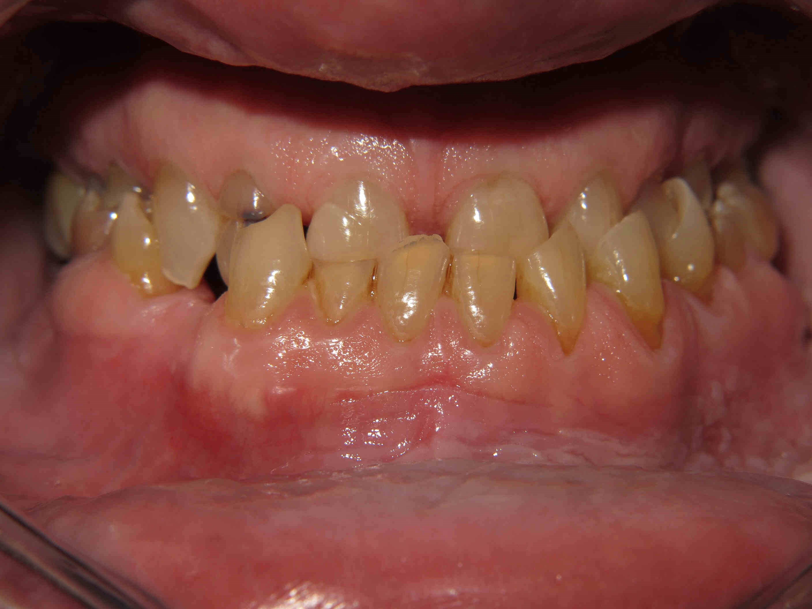
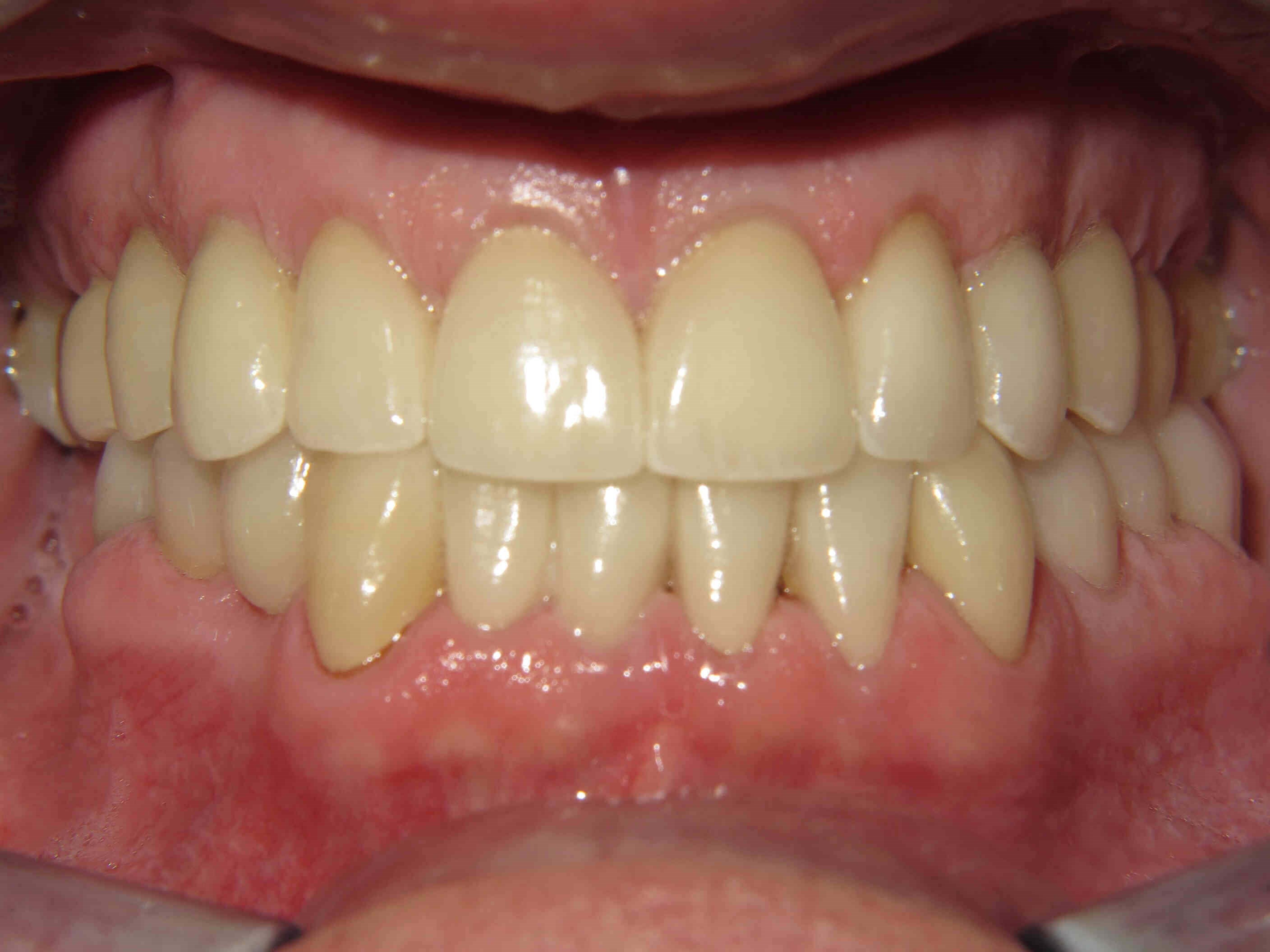
Smile Makeover for Plano, TX male with porcelain crowns and bridgework.
Patient
- Age:
- undisclosed
- Gender:
- Male
Procedure
Profile
General and Cosmetic Dentist
972-985-3300
Procedure Details
Location
Popular Searches
* All information subject to change. Images may contain models. Individual results are not guaranteed and may vary.
