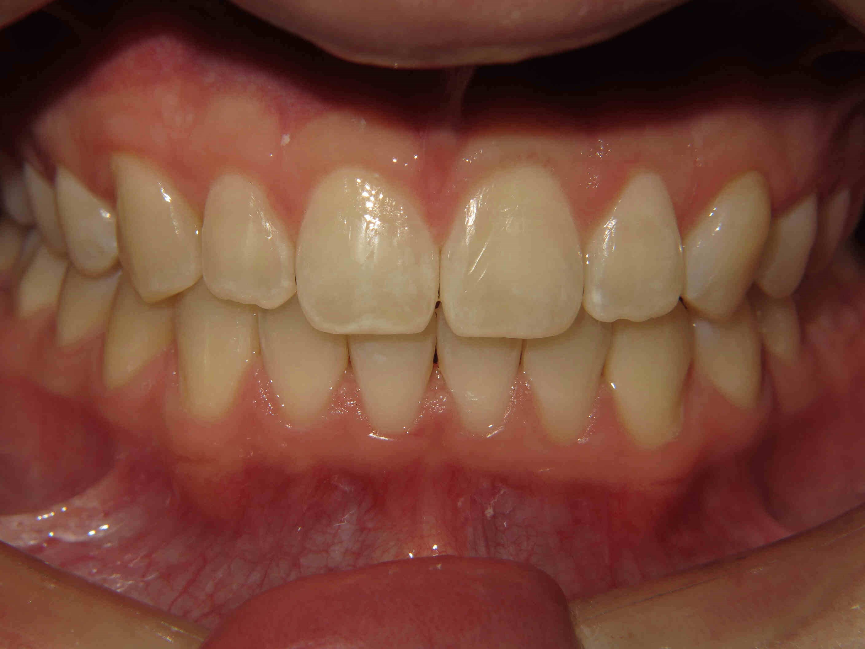
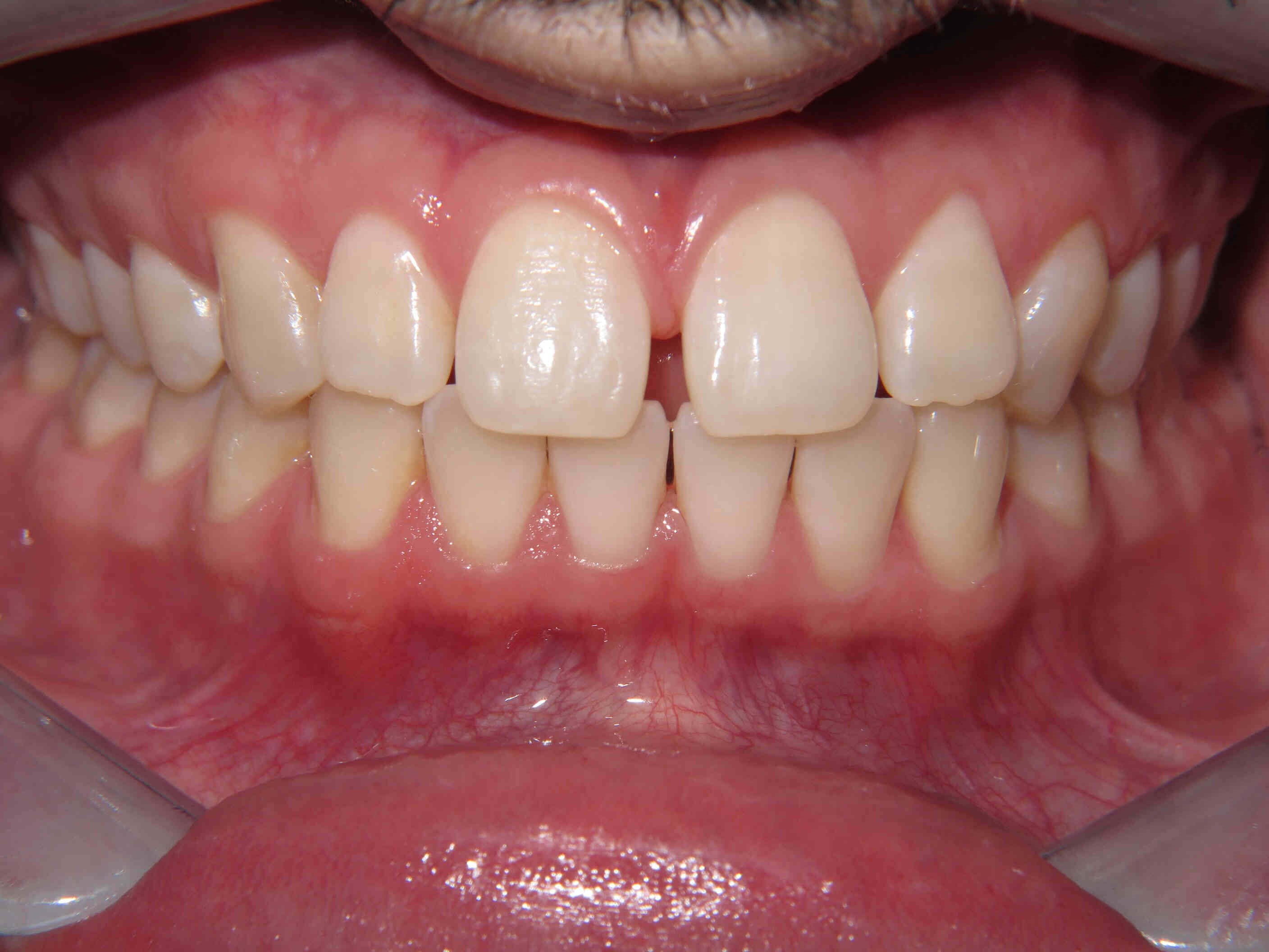
Plano, TX Male gets Clear Correct Aligners to fix his upper from teeth
Procedure
Profile
General and Cosmetic Dentist
972-985-3300
Procedure Details
Location
Popular Searches
* All information subject to change. Images may contain models. Individual results are not guaranteed and may vary.
