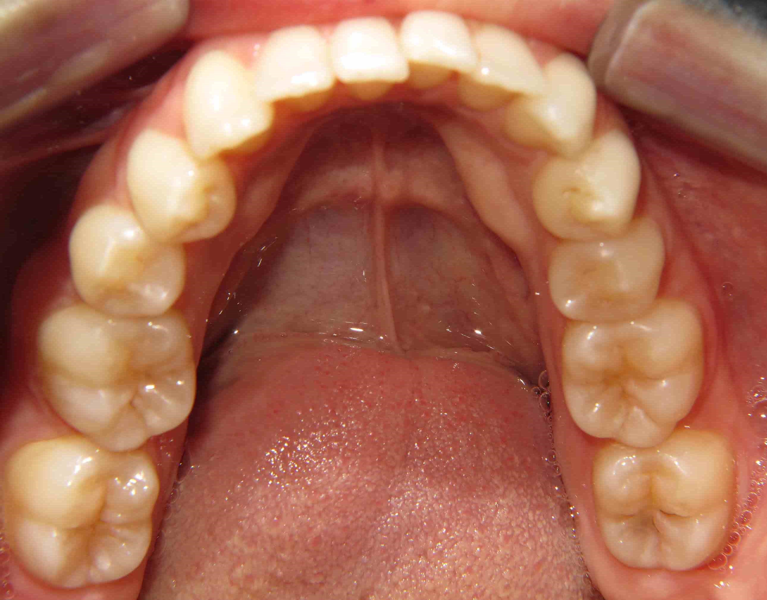
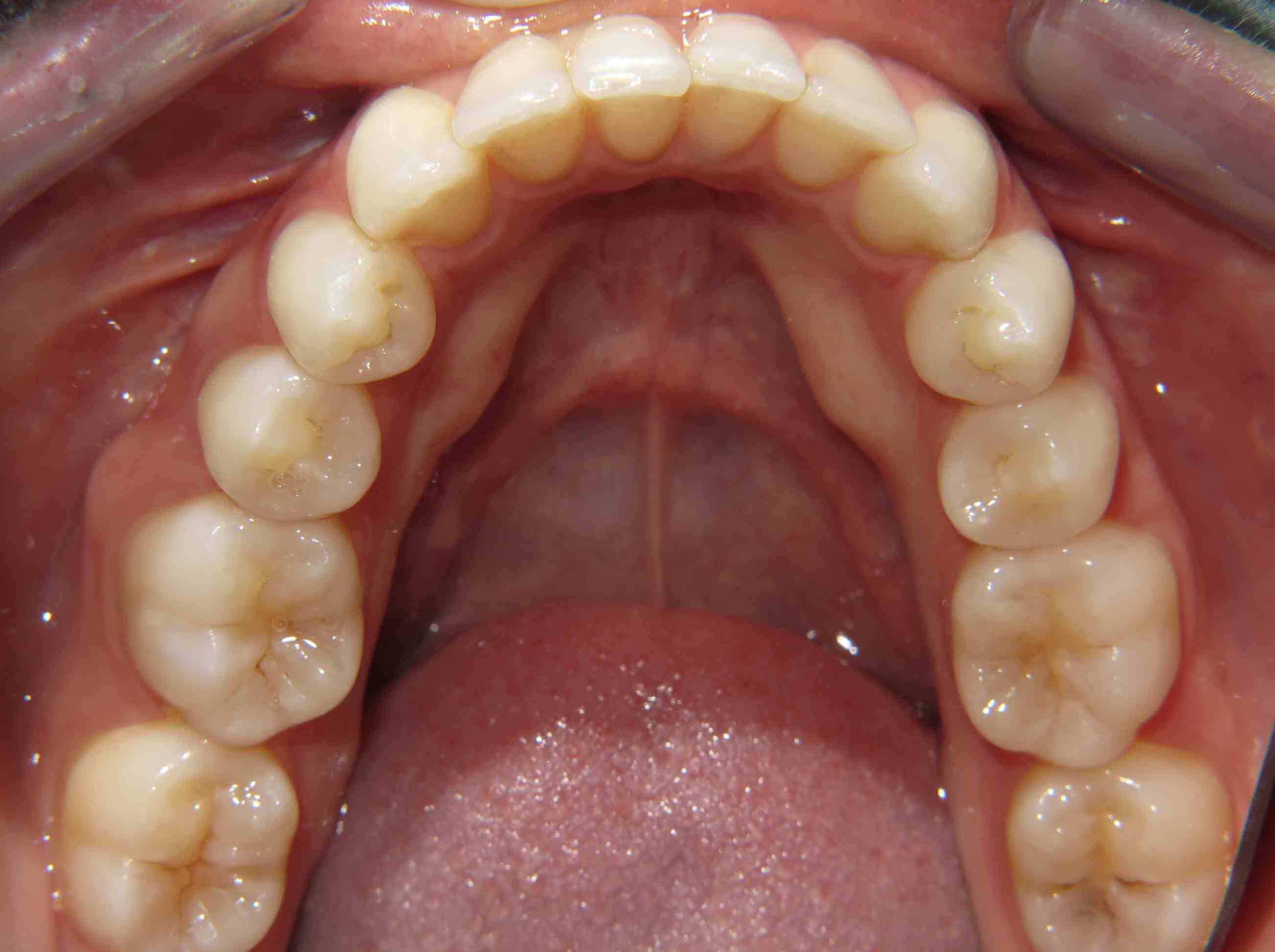
Female Patient gets Clear Correct to Straighten Teeth in Plano, TX
Patient
- Age:
- undisclosed
- Gender:
- Female
Procedure
Profile
 
                        General and Cosmetic dentist
972-985-3300
Procedure Details
Location
Popular Searches
* All information subject to change. Images may contain models. Individual results are not guaranteed and may vary.

&w=538&do-not-index) 
                        &w=&do-not-index) 
                                        
                                    &w=538&do-not-index) 
                        &w=&do-not-index)